Коли необхідна операція з ендопротезування суглоба великого пальця стопи?
Артропластика суглоба великого пальця стопи стає єдиним варіантом, коли hallux rigidus досягає стадії при якій нехірургічні методи лікування не забезпечують належного полегшення. Ця процедура, також відома як ендопротезування першого плюснефалангового суглоба, передбачає заміну пошкоджених суглобових поверхонь протезними компонентами
Опублікований: 18.11.2025Розуміння хірургії ендопротезування суглоба великого пальця стопи
Біль та проблеми із суглобами у великому пальці стопи, включаючи hallux rigidus та hallux valgus, мають суттєвий вплив не тільки на заняття спортом, а й на повсякденне життя впливаючи на рівновагу та правильну біомеханіку ходи. Національний інститут травматології та ортопедії НАМН України, відомий своїм багаторічним досвідом у хірургії стопи та гомілковостопного суглоба, пропонує передові рішення для тих, хто страждає від проблем із суглобами великого пальця стопи. Маючи медичний досвід, отриманий у кращих клініках Європи та США, та найбільший практичний досвід в Україні, Інститут був і залишається провідною установою в хірургічних інноваціях, зокрема в хірургії ендопротезування суглобів, в тому числі суглобів великого пальця стопи.
Декілька слів про найчастіші причини, що призводять до ендопротезування суглобу першого плюснефалангового суглоба.
Hallux Rigidus
Hallux rigidus друге за частотою захворювання першого плюснефалангового суглоба після Халлюкс вальгус (hallux valgus), про яке ми писали раніше в наших блогах.

Ви можете цього не помічати, але великий палець стопи так чи інакше бере участь у всіх рухах людини: ходьба, біг, стрибки, спуск або підйом сходами. І навіть коли ми стоїмо на місці або нахиляємося, присідаємо або піднімаємо вантаж, великий палець стопи бере участь у стабілізації вертикального положення тіла. Тому, навіть найменші болючі відчуття в суглобах великого пальця (особливо першого плюснефалангового суглоба) викликають дискомфорт і вибивають із повсякденних справ та ускладнюють заняття спортом.
Роль суглоба великого пальця стопи в механіці стопи
Суглоб великого пальця стопи є вирішальним для рівноваги, ходьби та бігу, несучи значну частину ваги тіла та забезпечуючи фазу «відштовхування пальців» у циклі ходьби. Здоровий суглоб дозволяє рух вгору на 60-75 градусів, що необхідно для нормальної ходьби. Однак hallux rigidus обмежує цей рух, змінюючи механіку ходьби, зменшуючи силу поштовху та, можливо, спричиняючи кульгавість. Це може призвести до компенсаторних рухів, що впливають на кінетичний ланцюг, потенційно викликаючи біль та проблеми в щиколотках, колінах, стегнах або попереку.
У далекому 1887 Девіс-Коллі вперше використовував термін Hallux limitus. З того часу були різні теорії про виникнення деформуючого остеоартрозу першого плюснефалангового суглоба. Nilsonne, в 1930 році вважав, що це захворювання є наслідком наявності занадто довгої першої плюсневої кістки, яка чинить тиск на суглобову поверхню основної фаланги. Викликано це нездатністю основи проксимальної фаланги проводити адекватне тильне згинання щодо першої плюсневої кістки. При рентгенологічному обстеженні пацієнтів було виявлено тильне зміщення головки 1 плюсневой кістки, наслідком чого є порушення біомеханіки руху в суглобі. Така особливість першої плюсневої кістки була названа metatarsus primus elevatus (піднята перша плюснева кістка). Kessel і Bonney також виявили, що у невеликому відсотку випадків розсікаючий остеохондрит головки першої плюсневої кістки веде до формування дегенеративних змін у суглобі з подальшим обмеженням тильного згинання.
Root із співавт. описав hallux rigidus як поліетиологічне захворювання, що включає гіпермобільність, відносно довгу першу плюсневу кістку, metatarsus primus elevatus, остеоартрит, травму, розсікаючий остеохондрит, подагру та ревматоїдний артрит. Нервово-м'язові розлади викликають гіпермобільність або гіперактивність переднього великогомілкового м'яза або слабкість малогомілкового м'яза, що може призводити до hallux rigidus, викликаючи нестабільність першого променя.
Нерідко для позначення цього патологічного стану використовується термін "ригідний" або "тугорухливий" плюснефаланговий суглоб (hallux rigidus або hallux limitus - в англомовній літературі).
Позначення Hallux відноситься до великого пальця, а Rigidus вказує на те, що палець напружений або тугорухомий, що призводить до зменшення об'єму рухів у суглобі великого пальця. Легша стадія цього стану іноді згадується як обмеження великого пальця стопи, оскільки рухливість суглоба обмежена.
Кілька слів про анатомію та патофізіологію Hallux Rigidus

У першому плюсне-фаланговому суглобі, також як і в більшості інших рухомих суглобів, кінці кісток, що утворюють його, покриті гладким гіаліновим хрящем. При значному зношуванні, травмі, метаболічному ураженні на хрящі виникають дефекти різного ступеня вираженості. Через порушення ковзання в суглобі, зменшення ступеня його конгруентності, надлишок навантаження переходить на навколишні м'які тканини, їх запалення та подальше відкладення в них кальцію призводить до формування кісткових шипів, що перешкоджають рухам у суглобі та роблять нормальну ходьбу неможливою. У самому гіаліновому хрящі немає нервових закінчень, з цього погляду хрящ «не болить», тому больовий синдром свідчить про крайню вираженість дегенеративного процесу, оскільки означає, що в патологічний процес залучена кістка.
Симптоми та діагностика Hallux rigidus
Клінічна картина складається з больового синдрому, що значно посилюється при ходьбі, зменшення амплітуди рухів у суглобі, особливо тильного згинання (розгинання) – тугорухливість. Часто, крім перерахованих симптомів, у пацієнтів є виражені остеофіти по тильній поверхні головки плюсневої кістки, які не тільки обмежують рухи в суглобі та викликають імпіджмент капсули, але й є самостійним джерелом больової симптоматики внаслідок пошкодження м'яких тканин у місці патології.
Hallux rigidus, найпоширеніший дегенеративний артрит стопи – стан, при якому суглоб великого пальця стопи стає скутим та більше не може виконувати свої функції . Це виникає внаслідок зношування хряща, що призводить до тертя кісток об кістки та, можливо, кісткових шпор - остеофітів. Ця скутість може початися як легкий дискомфорт, але, з часом, може прогресувати до сильної нерухомості суглоба та болю, навіть у стані спокою.
Цей стан часто розвивається повільно, починаючи зі скутості під час активності та переходячи до більш стійкого болю. Симптоми можуть посилюватися з часом, а уражений суглоб може набрякати, перетворюючи прості завдання на болісні зусилля.
Найчастіше Hallux Rigidus осіб віком 30-60 років, але зустрічаються випадки Hallux Rigidus у молодих людей віком до 30 років і навіть у підлітків. Причини виникнення цієї патології не до кінця зрозумілі, здебільшого не вдається встановити якусь конкретну причину. У тих випадках, коли причина ясна, найчастіше формування тугорухливості пов'язане з одноразовою травмою або частими мікротравмами (наприклад у спортсменів), або ненормальної анатомії стопи, що призводить до надмірного навантаження передніх відділів стопи. У багатьох випадках прояв Hallux Rigidus пов'язують з іншими патологіями стопи та гомілковостопного суглоба, коли порушується біомеханіка руху, що у свою чергу може призводити до перевантаження переднього відділу стопи. Також це захворювання може проявитися при різних видах плоскостопості.
Ступінь hallux rigidus варіюється від легкої скутості до повної скутості суглоба, і варіанти лікування відповідно різняться. На ранніх стадіях консервативного лікування може бути достатньо, але в запущених випадках може знадобитися хірургічні втручання, таке як ендопротезування суглоба.
Швидке звернення до спеціаліста на ранніх стадіях дозволяє запропонувати ефективні стратегії лікування hallux rigidus, адаптовані до кожної стадії захворювання, для покращення або підтримки функції стопи та полегшення болю.
Симптоми Hallux Rigidus:
- Біль в області першого плюснефалангового суглоба, особливо під час поштовху миском під час ходьби.
- Набряк в області першого плюснефалангового суглоба.
- «Шишка» по тильній поверхні першого плюснефалангового суглоба.
- Обмеження амплітуди рухів великого пальця стопи.
Консервативне та оперативне лікування Hallux Rigidus
Лікування Hallux Rigidus зводиться до корекції патологічних змін методами, вибір яких залежить від стадії процесу.
Консервативне лікування показано при 0 та 1 стадіях захворювання та зводиться до використання спеціального взуття та/або індивідуальних ортопедичних устілок, зниження навантаження та ваги тіла, нестероїдних протизапальних засобів, судинних препаратів. Найбільш поширеним видом устілок є жорстка устілка з підтримкою і фіксацією великого пальця, такі як устілка Мортона.
Консервативне лікування ригідного першого пальця спрямоване на зменшення патології. З його допомогою пацієнт, за потреби хірургічного втручання, готується до операції.
Крім устілок, зменшення навантаження та усунення болю застосовують:
- тракція (розтягнення) капсули суглоба - мануальне усунення конфлікту між суглобовими поверхнями: вибір правильної осі руху в суглобі;
- ЛФК та суглобовий масаж – спрямовані на відновлення тонусу м'язів стопи;
- PRP-терапія - введення плазми, збагаченої тромбоцитами;
- внутрішньосуглобове введення препаратів гіалуронової кислоти;
- фізіотерапевтичне лікування. ТЕКАР терапія, ударно-хвильова терапія;
- індивідуальні ортопедичні устілки та взуття;
- індивідуальні ортези;
- кінезіологічне та біомеханічне тейпування
Подібний комплексний підхід навіть при вираженій симптоматиці дає хороший результат і допоможе досягти позитивних результатів у тому числі у післяопераційний період реабілітації.
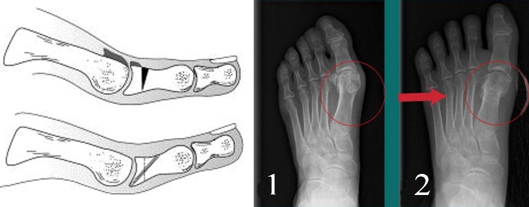
Якщо пацієнт планує і далі займатися спортом, пов'язаним з необхідністю поштовху миском (будь-які види спорту, пов'язані з бігом або стрибками) може використовуватися тильна клиноподібна остеотомія основної фаланги першого пальця, або операція Моберга (Moberg procedure).

Тильна клиноподібна остеотомія основної фаланги першого пальця або операція Моберга при Hallux Rigidus (ліворуч). Коригувальна вкорочуюча остеотомія, виконана черезшкірним методом (праворуч)
У пацієнтів похилого віку з вираженою патологією (3-4 стадія) з низькими функціональними запитами може бути використана резекційна артропластика або операція Келлера. Операція протипоказана у разі ригідної гіперекстензії першого пальця стопи, оскільки сама собою призводить до підвищеного ризику даної патології. Крім цього, призводить до значного ослаблення поштовху стопи і може призводити до метатарзалгії за рахунок навантаження головок інших плюсневих кісток.

Резекційна артропластика або операція Келлера при лікуванні ригідного першого пальця стопи
Хірургічне втручання - ендопротезування суглоба великого пальця стопи
Артропластика суглоба великого пальця стопи стає єдиним варіантом, коли hallux rigidus досягає стадії при якій нехірургічні методи лікування не забезпечують належного полегшення. Ця процедура, також відома як ендопротезування першого плюснефалангового суглоба, передбачає заміну пошкоджених суглобових поверхонь протезними компонентами.
Що таке артропластика першого плюснефалангового суглоба?
Метою ендопротезування суглоба великого пальця стопи є відновлення рухливості та усунення болю шляхом вставки штучних компонентів, що імітують природний рух суглоба.

Деякі представники сучасних імплантатів, що використовуються для артропластики (ендопротезування) першого плюснефалангового суглоба при Hallux Rigidus
Ідеальний кандидат
Не кожен пацієнт із hallux rigidus є кандидатом на ендопротезування суглоба. Операція зазвичай призначається тим, хто має значний біль та порушення функції, і яким не допомогли інші методи лікування.
Хірургічні міркування
Операція з ендопротезування суглоба великого пальця стопи – це складна та незворотна процедура, яка вимагає ретельного обмірковування та планування. Вона включає видалення пошкодженої кістки та хряща, а потім точне встановлення ендопротеза – штучного аналога суглобових поверхонь.
Післяопераційні очікування
Хоча ендопротезування суглобів може запропонувати суттєві покращення, воно не є панацеєю. Очікування від операції мають бути реалістичними, спрямованими на полегшення болю та покращення функції, а не на ідеальне відновлення функцій суглобу. Післяопераційна реабілітація та дотримання рекомендацій з навантаження відіграють вирішальну роль у досягненні найкращого можливого результату.
Визначення необхідності заміни суглоба великого пальця стопи
Рішення про заміну суглоба великого пальця стопи є багатогранним, зосереджуючись, головним чином, на болю, який не реагує на інші методи лікування, та значних обмеженнях у повсякденній діяльності. Рентген та інші дослідження (КТ, МРТ) допомагають оцінити стан суглоба, і разом з фізичним оглядом вони надають детальну картину пошкодження чи захворювання.
Оцінка кваліфікованого ортопеда-травматолога є життєво важливою. Завдяки своєму досвіду він може оцінити доцільність процедури для кожного окремого випадку. Коли консервативні методи лікування вичерпані та якість життя порушена, ендопротезування суглоба може бути запропоновано як найкращий шлях вирішення проблеми.
Процедура заміни суглоба великого пальця стопи за рекомендацією ортопеда-травматолога
Операція із заміни суглоба великого пальця стопи спрямована на полегшення болю та відновлення функції у пацієнтів із hallux rigidus.

Набір інструментів та імплантів для виконання операції з ендопротезування суглоба великого пальця стопи
Відновлення, реабілітація та ризики ендопротезування суглоба великого пальця стопи
Відновлення та реабілітація
Після операції пацієнти можуть очікувати період іммобілізації, щоб суглоб міг належним чином загоїтися. Тривалість залежить від індивідуального випадку та протоколу післяопераційного відновлення. Після цього починається ретельно спланована програма реабілітації, зосереджена на відновленні рухливості та сили пальця стопи та кінцівки.

Варіант ендопротезування від BioPro MPJ Hemi замінює суглобовий хрящ з одного боку суглоба (проксимальна фаланга) гладким та міцним імплантатом. Усуваючи контакт кістки з кісткою, імплантат забезпечує знеболення та відновлення рухів. Конструкція запобігає впливу на імплантат високих сил, до 119% ваги тіла, що діють на головку плеснової кістки під час ходьби
Стандартний імплантат виготовлено з кобальт-хрому, біосумісного металу з довгою історією безпечного використання в ендопротезуванні суглобів. Однак, оскільки кобальт-хром містить невелику кількість нікелю, він може не підходити пацієнтам з чутливістю до нікелю. У таких випадках ми пропонуємо титанову альтернативу
Ортопед-травматолог наголошує на важливості ретельного дотримання плану післяопераційного догляду для максимізації результатів одужання. Це включає дотримання подальших прийомів, носіння рекомендованого взуття та участь у призначених сеансах фізіотерапії.
Ризики та ускладнення: Хоча операція із заміни суглоба великого пальця стопи має високий рівень успіху, також існує ймовірність продовження болю або скутості після операції, хоча це трапляється рідше при використанні сучасних хірургічних методів та протезування.
Пацієнтам слід обговорити потенційні ризики та ускладнення зі своїм лікарем, щоб повністю зрозуміти наслідки операції. Досвідчений ортопед-травматолог може зменшити багато з цих ризиків завдяки ретельно спланованій хірургічній техніці та комплексному догляду за пацієнтами як до, так і після процедури.
Висновок
Операція з ендопротезування це свідомий та зважений вибір не тільки ортопеда-травматолога, а й пацієнта, відкрите спілкування та довіра прокладають шлях до успішних результатів. Лікарі з великим досвідом та орієнтованим на пацієнта підходом, відіграють важливу роль у перетворенні складної перспективи хірургічного втручання з її ризиками та можливими ускладненнями на практичний шлях до відновлення мобільності та покращення якості життя пацієнта.
Зробіть наступний крок до руху без болю
Запрошуємо вас звернутися до нашої команди відданих своїй справі спеціалістів. Дозвольте нам провести для вас персоналізовану оцінку, запропонувавши вам аналітичні дані та варіанти, адаптовані до ваших унікальних потреб. Разом ми зможемо визначити найкращий курс дій для відновлення вашої мобільності, полегшення болю та покращення якості вашого життя.
Зв’яжіться з нами сьогодні, щоб записатися на консультацію. Зробіть перший крок на шляху повернення до активного життя без болю. Найголовнішим чинником до життя без болю є ваше бажання.

Ендопротезування великого пальця стопи
Суть процедури
Ендопротезування великого пальця стопи – це хірургічна операція по заміні пошкодженого суглоба великого пальця стопи штучним імплантатом для позбавлення болю та відновлення рухливості.
Кому призначена ця операція?
- Особам з тяжким артритом великого пальця стопи
- Пацієнтам, які страждають від сильного болю та обмеження рухливості
- Хворим, яким не допомогли інші способи лікування
Переваги операції
- Позбавлення болю
- Покращення функції суглоба
- Краща рухливість та вища якість життя
- Збереження структури стопи
Потенційні ризики та ускладнення
- Інфекція
- Ослаблення або поламка імплантата
- Пошкодження нерву
- Тривалий біль
Коли варто розглянути цю операцію?
- Консервативне лікування неефективне
- Біль суттєво обмежує щоденне життя
- Пацієнт прагне підтримувати активний спосіб життя
З питань діагностики та лікування травматичних пошкоджень та захворювань опорно-рухового апарату:

- Контакти:
- +38(099)064-82-87
- +38(096)064-82-87
- Відповідаємо на Ваші дзвінки: Понеділок – П'ятниця 10:00 – 16:00
- Або Telegram: Чат Telegram цілодобово по можливості
