Переломи пʼяткової кістки: коли опора стопи потребує відновлення
Перелом пʼяткової кістки — це не просто медичний діагноз, це життєва подія, що ділить існування на "до" і "після". Це урок смиренності, коли розумієш, наскільки ми залежні від такої простої речі, як здатність стати на ногу.
Опублікований: 21.11.2025Коли земля зненацька стає ворогом
Одна мить і світ перевертається. Падіння з висоти, невдалий стрибок, автомобільна аварія...
П’яткова кістка, найбільша з кісток стопи та одна з найміцніших в організмі людини, що покликана нести на собі вагу всього тіла, ламається під тиском долі. Біль вибухає блискавкою, розливаючись від стопи вгору, паралізуючи будь–який рух у гомілковостопному суглобі. Нога, що ще мить тому слухняно несла вас крізь життя, раптом перетворюється на безпорадний придаток, що відмовляється виконувати свої функції.
П’яткова кістка це фундамент нашої ходи, перша точка дотику з землею при кожному кроці. Її перелом це не просто травма, це втрата свободи пересування, втрата незалежності. Стопа набрякає, синці розцвітають барвами болю — від червоного до фіолетового, від синього до жовто-зеленого. Кожна спроба спертися на ногу перетворюється на випробування витривалості та сили волі.
Анатомія катастрофи
П’яткова кістка (calcaneus) — це складна архітектурна споруда природи, міст, що з’єднує гомілку зі стопою через таранну кістку. Вона формує п’яту і служить місцем прикріплення ахіллового сухожилля, найпотужнішого канату у нашому тілі, здатного витримувати навантаження в тисячі кілограмів. Коли ця кістка ламається, особливо коли лінія перелому проходить через дзеркально-гладку суглобову поверхню, наслідки можуть змінити життя назавжди.

Діагностика: читаючи історію болю
Коли лікар стає детективом
Лікар-травматолог — це детектив, що розгадує загадку травми. Кожна деталь має значення: як сталося падіння, з якої висоти, на яку поверхню. Механізм травми розповідає таємниці майбутніх ускладнень — падіння з висоти шепоче про можливі двосторонні переломи п’яткових кісток, пошкодження таранної кістки та компресію хребців, аварія у ДТП кричить про поєднані травми.
Руки лікаря обережно доторкаються до розпухлої стопи, читаючи шрифт Брайля болю крізь шкіру. Пʼята розширена, наче хтось накачав її повітрям. Контури згладжені, архітектура стопи зруйнована. Шкіра натягнута до межі, блищить нездоровим блиском, а під нею — мозаїка синців, що розповідає про внутрішню катастрофу. Симптом Мондора — так медики називають цю картину, коли гематома стікає вниз, на підошву, малюючи карту внутрішньої кровотечі.

Кожен дотик відгукується стогоном. Спроба повернути стопу всередину чи назовні — безуспішна, мʼязи спазмовані від болю, тіло включило захисний механізм, наказавши всьому навколо завмерти. А найстрашніше — неможливість стати на ногу, відчути під собою опору. Ця втрата чогось такого природного, як дихання, перетворює реальність на кошмар.
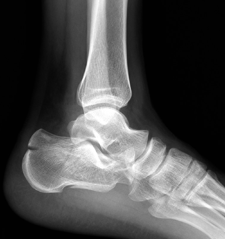
Коли промені розповідають правду
Рентгенівські промені пронизують плоть, малюючи портрет катастрофи на плівці чи екрані. Тіні і світло складаються в історію перелому.

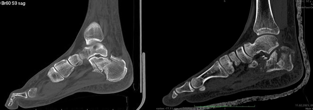
Але рентген — лише силует, тінь реальності. Справжню карту руйнувань малює комп’ютерна томографія (КТ) — безжальний картограф, що шар за шаром зрізає тканини, показуючи перелом у всій його тривимірній жорстокості. Тут видно кожен уламок, кожну тріщину, кожне зміщення. КТ дозволяє побачити те, що приховане від звичайного погляду — як суглобова поверхня розламана на шматки, наче дзеркало, що впало на підлогу.

Саме ці знімки визначають, чи зможе лікар зібрати цю «складанку» назад, чи доведеться жити з компромісом.


Магнітно–резонансна томографія (МРТ) залишається в резерві — вона бачить те, що невидиме іншим: сухожилки, мʼязи, хрящі, набряк кісткового мозку, гематоми. До неї вдаються рідше, коли потрібно побачити не кістку, а те живе, що її оточує, щоб зважити усі ризики з боку реакції м’яких тканин.
Варіанти лікування
Консервативний шлях: терпіння як ліки
Не кожен перелом вимагає оперативного втручання. Коли кістка зламалась, але уламки залишились на місці, коли зміщення мінімальне, а суглобові поверхні цілі - медицина обирає шлях очікування та надії. Це шлях для тих, хто не витримає наркозу, чиє серце занадто слабке для операційного столу, або для тих, у кого перелом — простий, з мінімальними допустимими зміщеннями.
Перші тижні після травми — це час заціпеніння у гіпсі. Стопа загорнута в білий кокон, нога піднята на подушках, наче священна реліквія. Лід прикладається до місця травми, холод бореться з вогнем запалення та набряку. Знеболювальні таблетки стають найближчими супутниками, милиці — новими ногами. Вага тіла повністю переноситься на руки, на здорову ногу, на терпіння. Пошкоджена кінцівка висить у повітрі, забороняючи собі навіть думку про дотик до землі.
Наступні місяці — це гра в очікування. Кожні два-три тижні — рентген, щоб побачити, чи не змістилися уламки під невпинною дією сили м’язів та сухожилків. Гіпс міняють, підганяють, корегують. Починаються перші обережні рухи пальцями, пасивні рухи у суглобах, не знімаючи іммобілізації. Тіло навчається та звикає жити в новій реальності обмежень.
Через три місяці дозволяється перший крок. Спочатку — десять відсотків ваги, потім двадцять, потім половина. Кожен крок зважується, вимірюється, контролюється. Милиці поступово відходять на задній план, але залишаються поруч, як вірні слуги, готові підтримати у будь-який момент.
Хірургічний шлях: коли треба збирати мозаїку
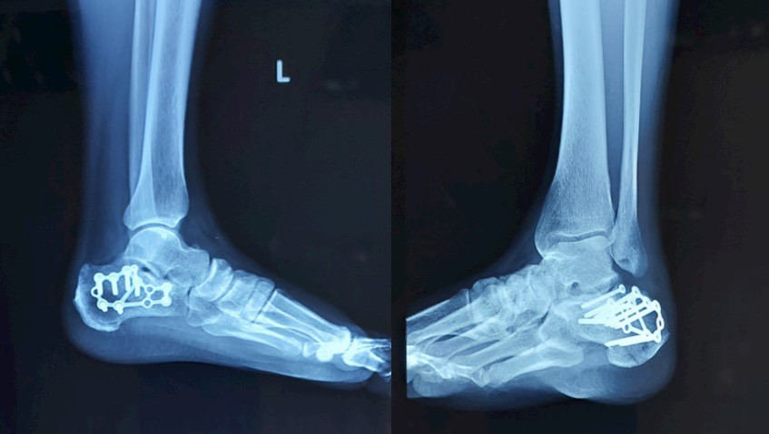
Коли кістка зламана так, що консервативне лікування — це капітуляція перед інвалідністю, хірург бере у руки інструменти. Операція на пʼятковій кістці — це не просто зшивання рани та збирання уламків. Це ювелірна робота, де хірург стає архітектором, що відновлює зруйновану будівлю.
Відкрита репозиція та внутрішня фіксація за допомогою МОС — так красиво звучить назва того, що насправді є тривалою, кропіткою битвою за кожен міліметр. Хірург збирає уламки, один за одним, повертає на місце, відновлює суглобову поверхню — вона має стати гладкою, як дзеркало, інакше майбутнє буде наповнене болем та артрозом.


Спеціальні пластини та гвинти — це арматура, що тримає відновлену конструкцію. Вони вживлюються у кістку, стають її частиною, екзо- та ендо- скелетом всередині кальцієвого. Це технологія та мистецтво одночасно. Операція може тривати години, кожен шматок має стати на своє місце, кожен гвинт вкручений під правильним кутом, щоб не заподіяти шкоди вже пошкодженим тканинам.
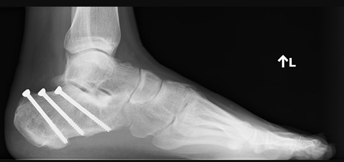
Черезшкірна фіксація переломів пʼяткової кістки — для тих випадків, коли перелом простіший, а ризики відкритої операції занадто великі. Крізь маленькі проколи, під контролем рентгену (ЕОП-у), хірург проводить гвинти, скріплюючи уламки без великих розрізів. Менша травма, швидше загоєння, але й можливості обмеженіші.

Зовнішня фіксація — це тимчасова міра, коли мʼякі тканини настільки пошкоджені, що будь-який розріз призведе до катастрофи. Металеві спиці пронизують кістку вище і нижче перелому, зʼєднані зовні рамою. Це конструкція, що тримає все на місці, дозволяючи набряку спасти, ранам загоїтись, а тоді — або фінальна операція та репозиція, або гіпс та консервативне лікування.

Найкращий час для операції - це дивний парадокс медицини. Не відразу, бо м’які тканини розпухлі, кровоносні судини стиснуті, розріз не загоїться, але й не пізно, бо через тижні починається рубцювання, тканини стають жорсткими, операція стає майже неможливою. Тиждень-два після травми — це вікно можливостей, коли хірург має діяти.
Але є виключення — відкриті переломи, коли кістка пробиває шкіру, тоді операційна приймає пацієнта негайно, у першу годину, без зволікань та сумнівів.
Реабілітація: мистецтво повернення до життя
Перші кроки у світ руху
Реабілітація починається не тоді, коли знімають гіпс, а одразу, з першого дня після травми чи операції. Це довга дорога, що вимірюється місяцями, а іноді — роками. Це не просто відновлення кістки, це повернення до життя, яке було до того моменту, коли земля вдарила в пʼяту.
Перші шість тижнів — це час, коли стопа заборонена для руху, але тіло навколо неї має залишатись живим. Пальці стопи рухаються, згинаються, розгинаються — це мова спілкування з нервами, що не повинні забути, як керувати мʼязами.
Литкові мʼязи напружуються без руху — ізометричні вправи, коли мʼяз стискається, але нога залишається нерухомою.
Массаж — не для задоволення, а для боротьби з набряком.
Середина шляху: навчання ходи
З сьомого тижня до дванадцятого починається новий етап — етап повернення ваги на ногу. Спочатку це страшно, як перший крок дитини. Чверть вашої ваги переноситься на пʼяту — електронні ваги під ногою показують цифри, ви вчитесь відчувати, скільки це — двадцять кілограмів на стопу. Через тиждень — тридцять, потім сорок. Кожен крок контрольований, виміряний, обережний.
Стопа починає згадувати, як згинатись, як тягнутись пальцями до гомілки, як опускатись вниз. Еластичні стрічки створюють опір — ви тягнете стопу на себе, долаючи натягнення гуми. Мʼязи, що занепали за місяці бездіяльності, поступово нарощують силу.
Вода стає союзницею — у басейні тіло важить менше, вода тримає вас, дозволяючи рухатись без повного навантаження. Ви ходите по дну басейну, вода сягає грудей, вага зменшена на шістдесят відсотків. Це репетиція майбутньої ходи, тренування у безпечному середовищі.
Прогноз: між надією та реальністю
Прогноз після перелому пʼяткової кістки — це не пряма лінія, це складна крива, що залежить від безлічі факторів, більшість з яких непідконтрольні пацієнту та лікарю.
Молодість — це потужний союзник. Двадцятирічна кістка зростається міцніше, швидше, з меншою кількістю ускладнень.
Тип перелому визначає долю. Простий позасуглобовий перелом горбистості пʼяткової кістки без зміщення — це місяць у гіпсі, три місяці обережності, і далі майже нормальне життя. Але складний внутрішньосуглобовий перелом з пошкодженням суглобової поверхні на десять уламків — це рік реабілітації, операція з сумнівним результатом, артроз через пʼять років, артродез через десять. Це дві різні історії під однією назвою "перелом пʼяткової кістки".
Супутні травми множать проблеми.
Перелом обох пʼяткових кісток одночасно — це подвійне випробування, подвійний час нерухомості, подвійна втрата функції.
Компресійний перелом хребця разом з переломом пʼяти у пацієнтів віком 45+ — це людина прикута до ліжка на місяці, з усіма ускладненнями іммобілізації: пневмонією, тромбозами, атрофією м’язів, пролежнями, депресією.
Переломи таранної кістки та складні пошкодження суглоба Лісфранка – можуть поставити хрест на надії повноцінного відновлення функції стопи, особливо у пацієнтів старшої вікової групи. У більшості випадків такі пошкодження закінчуються артродезом – повне знерухомлення (блокування) гомілковостопного суглоба.

Артродез гомілковостопного суглоба стержнем
Цукровий діабет — це злий геній, що псує всі плани. Кістка зростається повільно, рани не загоюються, інфекції процвітають, нерви пошкоджені, відчуття болю притуплене, і людина може не помітити, як розвивається некроз стопи. Паління — це вибір на користь ускладнень, кожна цигарка звужує судини, зменшує кровопостачання кістки, уповільнює загоєння на тижні. Інші системні захворювання тканин та судин – ще одна карта на користь ускладнень.
Якість лікування — це той фактор, що можна вибрати. Досвідчений хірург, що робив сотні операцій на пʼятковій кістці, проти молодого лікаря, що бачить такий перелом вперше — це різниця між анатомічною репозицією і компромісом, між хорошим результатом і середнім. Центр травматології з сучасним обладнанням, КТ-навігацією, спеціалізованими пластинами — проти районної лікарні з базовим набором інструментів. Це теж вибір, якщо він можливий.
Дисципліна у реабілітації — це той фактор, що цілком залежить від пацієнта. Можна виконувати всі вправи, ходити на всі процедури, дотримуватись усіх рекомендацій — або можна знехтувати, бо "болить", "нема часу", "не вірю у це". Статистика показує: ті, хто сумлінно реабілітується, мають удвічі кращі результати через рік. Це не гарантія, але це шанс, що варто використати.

Підбиваючи підсумки: коли біль стає вчителем
Перелом пʼяткової кістки — це не просто медичний діагноз, це життєва подія, що ділить існування на "до" і "після". Це урок смиренності, коли розумієш, наскільки ми залежні від такої простої речі, як здатність стати на ногу. Це урок терпіння, коли місяці тягнуться, як роки, а прогрес вимірюється міліметрами. Це урок прийняття, коли доводиться змиритись, що повного відновлення може не бути, що нова реальність — це не стара реальність, і це теж — життя.
Кістка зростається — повільно, болісно, але зростається. Мʼязи відновлюються — слабкіше, ніж були, але відновлюються. Біль стихає — не зникає повністю, але стає керованим. І одного дня, можливо через рік, можливо через два, ви робите крок без думки про біль, без підрахунку навантаження, без страху. Просто крок. І цей крок — це маленька перемога, тріумф над травмою, над обставинами, над реальністю.
Земля знову стає другом, а не ворогом. Пʼята, що колись тріснула під тиском, тепер тримає вас, хоч і не так впевнено, як раніше. Стопа, що була зрадником, знову стає опорою. Життя продовжується — інше, адаптоване, з обмеженнями, але воно продовжується. І в цьому продовженні, у цій здатності рухатись вперед попри все — є своя краса, своя мужність, свій тихий героїзм буденності.
Перелом пʼяткової кістки навчає нас цінувати те, що здавалось само собою зрозумілим. Кожен безболісний крок стає маленьким дивом. Кожен день без ліків — маленьким святом. Кожна можливість піти, куди хочеш — маленькою свободою, що дорожча за золото.
Памʼятайте: Якщо ви підозрюєте перелом пʼяткової кістки — негайно зверніться до травматолога-ортопеда. Ранній правильний діагноз і своєчасне лікування — це не гарантія ідеального результату, але це найкращий шанс, що у вас є. Не втрачайте цей шанс. Ваші ноги — це ваша свобода, і вони варті найкращої медичної допомоги, яку ви можете отримати.

З питань діагностики та лікування травматичних пошкоджень та захворювань опорно-рухового апарату:

- Контакти:
- +38(099)064-82-87
- +38(096)064-82-87
- Відповідаємо на Ваші дзвінки: Понеділок – П'ятниця 10:00 – 16:00
- Або Telegram: Чат Telegram цілодобово по можливості