Переломи проксимального відділу гомілки. Сучасний підхід у діагностиці та лікуванні
Переломи проксимального відділу гомілки становлять значну проблему сучасної травматології та ортопедії та складають близько 1,2% усіх переломів кісток.
Опублікований: 07.01.2026Переломи проксимального відділу гомілки. Сучасний підхід у діагностиці та лікуванні
Огляд матеріалів з відкритих джерел
Переломи проксимального відділу гомілки становлять значну проблему сучасної травматології та ортопедії та складають близько 1,2% усіх переломів кісток. Ці пошкодження охоплюють переломи виростків великогомілкової кістки, переломи плато великогомілкової кістки та переломи головки малогомілкової кістки. Особливу увагу привертають внутрішньосуглобові переломи плато великогомілкової кістки, оскільки вони безпосередньо впливають на функцію колінного суглоба та можуть привести до тяжких віддалених наслідків.
- Латеральний відділ: 55-70% переломів
- Медіальний відділ: 10-20% переломів
- Обидва виростки: 10-30% переломів

Епідеміологічні особливості:
- У молодих людей переломи частіше виникають внаслідок високоенергетичної травми (дорожньо-транспортні пригоди, падіння з висоти, спортивні травми)
- У осіб похилого віку переважають низькоенергетичні травми на фоні остеопорозу
- Співвідношення чоловіки/жінки становить приблизно 2:1 для високоенергетичних травм
- Пік захворюваності припадає на вік 40-60 років
- Латеральне плато уражується частіше, ніж медіальне (співвідношення 60:40)
Декілька слів про анатомію
Як ми вже писали раніше у наших матеріалах, будова колінного суглоба дуже складна. При навіть незначних пошкодженнях якоїсь однієї ланки в механізм стабілізації включаються інші, що, зазвичай, призводить до порушення біомеханіки ходи та функції всієї кінцівки.

Медіальний виросток, латеральний виросток, міжвиросткове підвищення, м’якотканинні структури (колатеральні зв’язки, ПЗХ, ЗХЗ, меніски)
Структурні та анатомічні особливості:
- Медіальний виросток більший
- Медіальний виросток розташований нижче (більш увігнутий)
- Структура медіального відділу міцніша (тому менша ймовірність перелому)
- Латеральний виросток розташований вище (форма більш опукла)
- Хрящ латерального відділу товщий (3 проти 4 мм)
- Кут нахилу плато в сагітальній площині 10-12˚
Механізм пошкодження
Вальгус – латеральний відділ (медіальна колатеральна зв’язка, ПХЗ). Варус – медіальний відділ (латеральна колатеральна зв’язка, тракційне ушкодження малогомілкового нерва). Дія аксіальної сили – обидва виростки
Низькоенергетична травма:
- Переважно жінки після 50 років
- Простий характер перелому або імпресія
- Незадовільний стан кісткової тканини (остеопенія/остеопороз)
- Супутні ушкодження м’яких тканин

Високоенергетична травма:
- ДТП, падіння з висоти (чоловіки до 50 років)
- Складні переломи (обидва виростки)
- Супутні ушкодження м’яких тканин:
- Коллатеральні звязки, ПЗХ, ЗХЗ, меніски
- Ушкодження латерального меніска:
- 5 мм імпресія
- 6 мм зміщення
- Ушкодження підколінної артерії
- Ушкодження малогомілкового нерва
- Компартмент синдром
Декілька слів про класифікацію
Навіщо це потрібно? Саме класифікація перелому дозволяє скоротити процедуру вибору алгоритму лікування. За багато років спостереження, проб та помилок, ортопеди-травматологи розробили класифікацію переломів та рекомендації з їх лікування. Отже.

Класифікація за Schatzker. Type I: Split fracture of the lateral plateau, Type II: Split depression fracture of the lateral plateau, Type III: Pure depression fracture of the lateral plateau, Type IV: Medial plateau (possible fracture / dislocation), Type V: Bicondylar plateau fracture, Type VI: Plateau fracture with metaphyseal / diaphyseal dissociation

Класифікація за AO/ASIF. Type A: Extraarticular fracture (41-A), Type B: Partial articular fracture (41-B), B1: Pure split, B2: Pure depression, B3: Split depression, Type C: Complete Articular fracture (41-C), C1: Simple articular, Simple metaphyseal, C2: Simple articular, Multi-fragmentary metaphyseal, C3: Multifragmentary articular
Особливості діагностики переломів проксимального відділу гомілки
Збір анамнезу дуже важливий для первинної діагностики пошкодження колінного суглоба. Лікар має з’ясувати механізм травми, щоб визначити наявність можливих пошкоджень у інших сегментах. Це надзвичайно важливо при високоенергетичних механізмах травмування, таких як падіння з висоти та ДТП. Падіння з висоти на пряму ногу може супроводжуватися переломом кісток стопи, а ДТП - політравмою.
Клінічне обстеження. При первинному огляді виявляють біль, набряк, деформацію в ділянці колінного суглоба, обмеження рухів, гемартроз. Обов’язковим є оцінка стану м’яких тканин, перевірка периферичного кровообігу та неврологічного статусу кінцівки. Особливу увагу приділяють виключенню синдрому тривалого здавлювання та компартмент-синдрому.

Променева діагностика переломів проксимального відділу кісток гомілки
Рентгенографія у трьох проекціях є первинним методом діагностики, проте часто недостатньо інформативна для оцінки характеру внутрішньосуглобового перелому.

Пряма, бокова, коса проекції
Комп’ютерна томографія (КТ) з тривимірною реконструкцією є золотим стандартом діагностики. Вона дозволяє точно визначити характер перелому, ступінь зміщення, кількість та розміри фрагментів, стан суглобової поверхні та планувати хірургічне втручання.

Магнітно-резонансна томографія (МРТ) показана для оцінки супутніх ушкоджень зв’язкового апарату, менісків, хрящової тканини та кісткового мозку:
- (Коллатеральні звязки, ПЗХ, ЗХЗ, меніски)
- Ушкодження латерального меніска:
- > 5 мм імпресія
- > 6 мм зміщення
- Ушкодження підколінної артерії
- Ушкодження малогомілкового нерва
- Компартмент синдром

Магнітно-резонансна томографія
Сучасні методи лікування переломів проксимального відділу гомілки
Консервативне лікування
Застосовується рідко, лише при стабільних переломах без зміщення або при наявності абсолютних протипоказань до операції. Включає: іммобілізацію гіпсовою (полімерною) пов'язкою або ортезом протягом 6-8 тижнів з подальшою поступовою мобілізацією та реабілітацією.
- Іммобілізація 2-3 тижні в положенні розгинання
- ЛФК
- 0-30˚ з прогресивним збільшенням обʼєму рухів
- рекомендовано досягнути 90˚ згинання до 4-5-х тижнів
- Обмеження осьового навантаження 6-8 тижнів
- Рентгенконтроль 7-10 день та 21
Оперативне лікування переломів проксимального відділу кісток гомілки
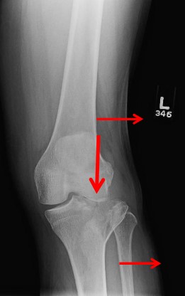
Показання до операції: зміщення суглобової поверхні більше 2-3 мм, нестабільність колінного суглоба, відкриті переломи, пошкодження судинно-нервових структур, пошкодження внутрішньосуглобових структур: меніски та зв’язки.
Головні завдання оперативного втручання:
- Анатомічна репозиція суглобових поверхонь (міжуламкова компресія, опорна функція)
- Ревізія/дебридмент внутрішньосуглобових мякотканинних структур (меніски, зв’язки)
- Відновлення механічної осі
- Стабільна фіксація
- Пластика дефектів кісткової тканини
- Раннє відновне лікування та реабілітація
Також слід пам’ятати:
- Іммобілізація при внутрішньосуглобових переломах призводить до контрактур
- Імпактовані суглобові фрагменти неможливо репонувати закрито
- Великі вдавлені фрагменти не заповнюються фіброзним хрящем, що супроводжується нестабільністю
- Анатомічна репозиція і стабільна фіксація необхідні для відновлення конгруентності суглоба
- Метафізарні дефекти під репонованими фрагментами суглобової поверхні повинні бути заповнені трансплантатом
- Відновлення осьових співвідношень кінцівки для попередження перенавантаження суглоба
- Для попередження контрактур, загоєння та відновлення необхідні рухи, а також дозоване осьове навантаження


Сучасні хірургічні методики лікування переломів проксимального відділу гомілки
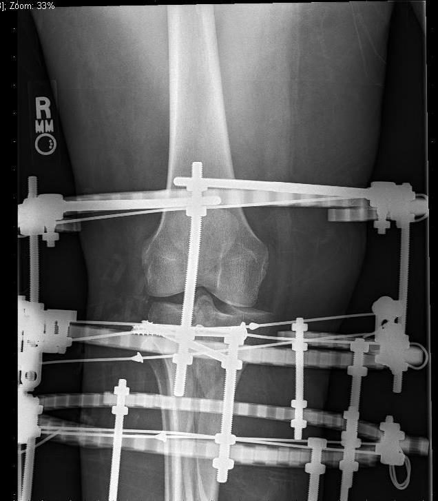
Апарати зовнішньої фіксації

Показання – відкриті переломи з дефектом шкірних покривів та мʼяких/кісткової тканини
- Технічно складний метод (потребує досвіду)
- Не забезпечує анатомічної репозиції та міжуламкової компресії (остеопороз)
Переваги:
- Малотравматичність
Недоліки:
- Ризик інфекції
- Побутові незручності для пацієнта
- Точне відновлення суглобових поверхонь
Може використовуватися як етапне лікування з наступною заміною метода фіксацію
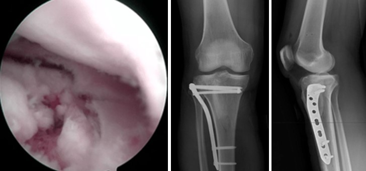
Відкрита репозиція та внутрішня фіксація залишається золотим стандартом лікування. Використовують різні хірургічні доступи залежно від локалізації перелому. Фіксацію здійснюють кутовими пластинами з кутовою стабільністю, гвинтами, спонгіозними гвинтами з шайбами. При наявності кісткового дефекту виконують кісткову пластику.

Артроскопічно - асистовані операції дозволяють мінімізувати травматичність втручання, здійснити точну репозицію суглобової поверхні під візуальним контролем, діагностувати та лікувати супутні внутрішньосуглобові пошкодження м’яких тканин: менісків та зв'язок.

Черезшкірна фіксація застосовується при простих переломах без значного зміщення, дозволяє зберегти кровопостачання кісткових фрагментів та мінімізувати пошкодження й без того травмованих тканин.
Зовнішня фіксація використовується як тимчасовий захід при відкритих переломах, політравмі, тяжкому ушкодженні м'яких тканин або як остаточний метод у складних випадках.
Вибір способу фіксації та кількості елементів


Приклад сучасних ластин для фіксації переломів проксимального відділу великогомілкової кістки від ChM sp. z o.o https://chm.eu/
Біологічний остеосинтез передбачає мінімальну травматизацію м'яких тканин, збереження кровопостачання кісткових фрагментів, використання малоінвазивних доступів та сучасних фіксаторів.
Післяопераційний період та реабілітація
Зазвичай, після оперативного втручання, пацієнт перебуває у стаціонарі під наглядом ортопеда-травматолога. Термін перебування залежить від складності та об’єму втручання та може становити від 3 до 14 + днів.
Антибіотикотерапія, перев’язки, аникоагулятни та знеболення – звичайний план післяопераційного ведення пацієнта. Також з першого дня використовують іммобілізацію гіпсовою (полімерною) пов’язкою або спеціальним ортезом.
Реабілітація є невід'ємною складовою лікування і розпочинається з перших днів після травми або операції.
Ранній післяопераційний період (0-6 тижнів)
Включає контроль болю та набряку, профілактику тромбоемболічних ускладнень, ізометричні вправи для м'язів стегна, пасивні та активно-пасивні рухи в колінному суглобі, ходьбу з допоміжними засобами без навантаження або з частковим навантаженням на оперовану кінцівку залежно від стабільності фіксації.

Проміжний період (6-12 тижнів)
Поступове збільшення навантаження на кінцівку під рентгенологічним контролем консолідації перелому, активні вправи для відновлення обсягу рухів, зміцнення м'язів, вправи для відновлення балансу та координації.
Пізній період (3-6 місяців)
Продовження зміцнення м'язів, функціональні вправи, поступове повернення до повсякденної активності та спорту. Повне відновлення функції може тривати від 6 місяців до року.
Фізіотерапевтичні методи: магнітотерапія, ультразвук, електростимуляція м'язів, лазеротерапія, гідрокінезотерапія значно прискорюють процес відновлення.
Прогноз та можливі ускладнення
Прогноз залежить від багатьох факторів: тяжкості перелому, якості репозиції, стабільності фіксації, супутніх ушкоджень зв'язок та менісків, віку пацієнта, дотримання режиму реабілітації.
При адекватному лікуванні та дотриманні протоколів реабілітації 70-85% пацієнтів досягають хороших та відмінних функціональних результатів. Однак у 10-30% випадків розвивається посттравматичний остеоартроз, що може потребувати ендопротезування колінного суглоба у віддалені терміни.
Наслідки та ускладнення
- Некроз мʼяких тканин (медіальний відділ)
- Інфекція ділянки оперативного втручання/Остеомієліт
- Втрата репозиції
- Незрощення
- Контрактура
- Нестабільність
- Післятравматичний деформуючий артроз
- Компартмент синдром