Переломи таранної кістки: сучасні аспекти діагностики та лікування
Переломи таранної кістки типово виникають внаслідок високоенергетичної травми. Сучасні причини включають дорожньо-транспортні пригоди (найчастіше - удар панеллю автомобіля), падіння з висоти, спортивну травму та промислові нещасні випадки
Опублікований: 26.11.2025Переломи таранної кістки: сучасні аспекти діагностики та лікування
Таранна кістка (talus) займає унікальне анатомічне положення в архітектурі гомілковостопного та підтаранного суглобів, виконуючи критичну роль у біомеханіці стопи та гомілки. Переломи цієї кістки становлять приблизно 0,1-0,85% усіх переломів скелета та близько 3-6% переломів кісток стопи, що робить їх відносно рідкісною, проте клінічно значущою травмою опорно-рухового апарату.

Механізм травми
Переломи таранної кістки типово виникають внаслідок високоенергетичної травми. Сучасні причини включають дорожньо-транспортні пригоди (найчастіше - удар панеллю автомобіля), падіння з висоти, спортивну травму та промислові нещасні випадки.

Діагностика. Клінічна картина
Пацієнти презентують з вираженим больовим синдромом у ділянці гомілковостопного суглоба, набряком, деформацією, обмеженням рухів та неможливістю опори на кінцівку. При вивихах можливе напруження шкіри з загрозою ішемічних ускладнень, що вимагає невідкладної репозиції. Критично важливим є оцінка нейроваскулярного статусу кінцівки, включаючи капілярне наповнення та чутливість.

Типовий вигляд стопи при травматичних пошкодженнях таранної кістки
Апаратна діагностика
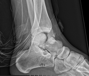
Рентгенографія залишається первинним методом візуалізації. Стандартні проекції включають передньозадню, бічну та mortise-проекцію гомілковостопного суглоба, а також передньозадню, бічну та косу проекції стопи. Додаткова проекція Canale (стопа в положенні підошвового згинання 15°, пронації 15° з направленням променя під кутом 75° до горизонталі) оптимізує візуалізацію шийки таранної кістки.

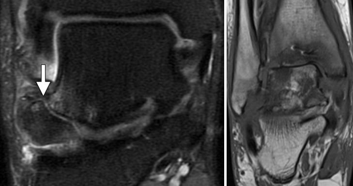
Компютерна томографія (КТ) є золотим стандартом у діагностиці переломів таранної кістки, дозволяючи детально оцінити характер перелому, ступінь зміщення фрагментів, стан суглобових поверхонь та планувати оперативне втручання. КТ-ангіографія може надати додаткову інформацію про васкулярний статус.

Магнітно-резонансна томографія (МРТ) має високу чутливість у виявленні окультних переломів, кісткового набряку та ранніх ознак аваскулярного некрозу. МРТ особливо корисна при підозрі на ушкодження хряща, остеохондральні ушкодження та при подальшому моніторингу загоєння.

Сцинтиграфія кісток історично використовувалась для оцінки життєздатності кістки, проте значною мірою замінена МРТ у сучасній практиці.
Особливості лікування. Консервативне лікування
Консервативне лікування показане при переломах без зміщення, або з мінімальним зміщенням при відсутності пошкоджень суглобових поверхонь (виключення можуть бути за життєвими показниками: при політравмі, соматичних захворюваннях які унеможливлюють проведення операції). Протокол включає іммобілізацію гіпсовою або полімерною повʼязкою або ортезом без навантаження на кінцівку протягом 6-8 тижнів з наступною поступовою активізацією. Регулярний рентгенологічний контроль необхідний для виключення вторинного зміщення фрагментів.
Фізметоди направлені на покращення кровопостачання в ділянці перелому. Масаж та ЛФК – відновлення об’єму рухів та опороздатності кінцівки.

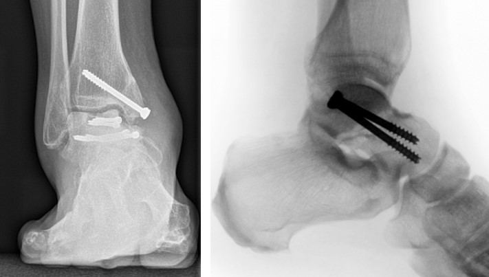
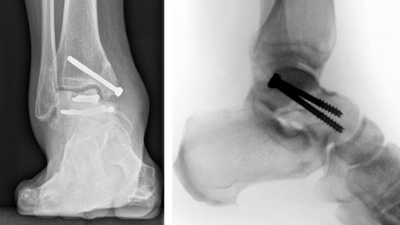
Оперативне лікування
Більшість переломів таранної кістки зі зміщенням вимагають хірургічної репозиції та фіксації. Основні принципи включають:
Термінові показання: Відкриті переломи, вивихи, судинні або неврологічні ускладнення вимагають невідкладного втручання для репозиції та стабілізації

Методи фіксації: Сучасні методики включають остеосинтез гвинтами (канюльованими або кортикальними), пластинами або їх комбінацією. Анатомічна репозиція суглобових поверхонь є критичною для профілактики посттравматичного артрозу. Фіксація має забезпечувати достатню стабільність при мінімальному порушенні васкуляризації.


Артроскопічний контроль: Сучасні протоколи рекомендують артроскопічну асистенцію для верифікації якості репозиції суглобових поверхонь та видалення інтраартикулярних фрагментів.
Реабілітація
Післяопераційний період включає іммобілізацію протягом 6-12 тижнів без навантаження з поступовою активізацією під контролем рентгенографії. Фізіотерапія фокусується на відновленні амплітуди рухів, мʼязової сили та пропріоцепції. Повне навантаження типово дозволяється через 10-16 тижнів після травми при рентгенологічних ознаках консолідації.

Ускладнення при консервативному та оперативному лікуванні
- Аваскулярний некроз залишається найбільш грізним ускладненням, розвиваючись у терміни від 6 місяців до 2 років після травми. Рентгенологічна ознака Hawkins (субхондральне просвітлення купола таранної кістки через 6-8 тижнів після травми) вказує на збережену васкуляризацію та низький ризик АВН.
- Посттравматичний артроз розвивається у 40-90% пацієнтів, особливо при інтраартикулярних переломах зі зміщенням. Ризик корелює з тяжкістю початкового ушкодження хряща та якістю репозиції.
- Інфекційні ускладнення спостерігаються у 3-10% випадків, частіше при відкритих переломах та травмах високої енергії.
- Мальунія та нонунія трапляються рідше при адекватній фіксації, проте можуть вимагати реконструктивних втручань.
- Комплексний регіональний больовий синдром потребує мультимодального підходу до лікування.
Прогноз
Результати лікування переломів таранної кістки значно варіюють залежно від типу перелому, якості репозиції та розвитку ускладнень. При переломах Hawkins тип I прогноз як правило сприятливий з поверненням до повної функції. При більш тяжких переломах (типи III-IV) навіть при оптимальному лікуванні можливі резидуальні функціональні обмеження та больовий синдром.

З питань діагностики та лікування травматичних пошкоджень та захворювань опорно-рухового апарату:

- Контакти:
- +38(099)064-82-87
- +38(096)064-82-87
- Відповідаємо на Ваші дзвінки: Понеділок – П'ятниця 10:00 – 16:00
- Або Telegram: Чат Telegram цілодобово по можливості