Гигрома (ганглион, синовиальная киста)
Гигромы могут появляться у пациентов любого возраста, однако чаще всего, по статистике, встречается у женщин в возрасте от 20 до 40 лет. Причины возникновения патологии на сегодняшний день еще не до конца изучены. Установлено лишь, что чаще всего гигрома возникает вследствие повреждения тканей сустава, избыточной нагрузки на само сочленение или сухожилия вокруг него, а также из-за генетической предрасположенности и/или патологии соединительной ткани, которая образует суставную капсулу ...
Опубликован: 17.06.2024Гигрома (ганглион, синовиальная киста)
Причины и факторы риска, симптоматика, диагностика, консервативное и оперативное лечение, реабилитация и профилактика. Обзор материалов из открытых источников, специально для проекта «Травматология и фармакология: точки соприкосновения».
Гигрома (ганглион, синовиальная киста) – это одинокое или множественное доброкачественное новообразование суставной капсулы (травма капсулы), или поверхностной оболочки влагалища сухожилия (гигрома сухожильного влагалища), заполненное синовиальной жидкостью.

Причины возникновения гигромы и факторы риска
Гигромы могут появляться у пациентов любого возраста, однако чаще всего, по статистике, встречается у женщин в возрасте от 20 до 40 лет. Причины возникновения патологии на сегодняшний день еще не до конца изучены. Установлено лишь, что чаще всего гигрома возникает вследствие повреждения тканей сустава, избыточной нагрузки на само сочленение или сухожилия вокруг него, а также из-за генетической предрасположенности и/или патологии соединительной ткани, которая образует суставную капсулу.
Синовиальная жидкость, находясь в капсуле сустава или сухожилия, равномерно распределяется по всей полости, но, при чрезмерной нагрузке перетекает из одной ее области в другую. Капсула, растягиваясь (иногда разрывается), образует выпячивание в виде шишки. Зачастую, перетекание синовиальной жидкости в образовавшуюся полость, однонаправленное – из сустава в полость новообразования. Со временем, если продолжать нагружать руку, выпячивание будет расти и может отсоединиться от суставной капсулы, образовав кисту – замкнутую полость. Внутри кисты продолжается синтез синовиальной жидкости, что способствует дальнейшему росту новообразования.
К факторам риска можно отнести:
- Возраст, пол: чаще всего заболеванию подвержены молодые женщины от 20 до 40 лет.
- Подверженность хронической травматизации кистей (ношение ребенка на руках, спорт, профессиональная деятельность).
- Повышенная эластичность соединительной ткани, чрезмерная подвижность суставов.
- Наследственность: гигромы у близких родственников.
- Системные заболевания с поражением соединительной ткани: ревматоидный артрит, болезнь Бехтерева, подагра…
Классификация гигром
Различают несколько классификаций гигром. По своему строению гигромы бывают однокамерные и многокамерные.
В зависимости от причины, гигромы подразделяются на следующие виды.
- Мукозная. Возникает при деформирующем артрозе, когда соединительная ткань увеличивается на фоне защитной реакции организма на сдавливание.
- Посттравматическая: развивается в результате повреждения сустава.
- Сухожильная. Формируется вследствие травм или патологических изменений оболочки сухожилий.
По размеру образования могут быть:
- мелкие: менее 1 см в диаметре;
- средние: от 1 до 3 см в диаметре;
- крупные: более 3 см в диаметре.
По форме - подразделяются на круглые, овальные и неочерченные. В зависимости от локализации, выделяют гигромы кисти, запястья, локтя, стопы, колена и т.п.

Симптомы гигром
В большинстве случаев, на начальном этапе гигрома не болит и не мешает, вызывая только эстетический дискомфорт. В редких случаях даже маленькая гигрома может давить на нерв или сосуд проходящий рядом, что может вызвать периферическую симптоматику схожую с невралгиями или сосудистые расстройства. По мере роста опухоль может давить на многочисленные нервные волокна в окружающих сустав тканях, вызывая боль, ограничение движений и атрофию тканей. Болезненность и некрасивый внешний вид побуждает пациента обратиться к ортопеду-травматологу или хирургу.
Гигрома характеризуется появлением небольшой опухоли в области суставов или сухожилий, которая четко визуализируется под кожей. Это новообразование почти всегда имеет четкие границы. При нажатии пациент испытывает боль. В зависимости от локализации и размера гигромы, субъективные симптомы могут быть различными:
- тупая боль на постоянной основе;
- болевые ощущения после нагрузки;
- боль, иррадиирующая в другие области по ходу нерва или сосудов, задействованных в патологический процесс.
Пациент ощущает присутствие новообразования под кожей. В некоторых случаях гигрома может никак не проявляться или же вызывать только дискомфортные ощущения при нагрузках на поврежденный сустав или сухожилие. Если гигрома находится вблизи нервов, может появиться ощущение покалывания или онемения в пальцах руки или ноги в зависимости от локализации.
Кожные покровы в области опухоли в некоторых случаях могут стать грубее, иногда они шелушатся и краснеют. При активном движении опухоль, как правило, увеличивается в размерах, а в состоянии покоя ее размеры становятся исходными.

Диагностика гигромы
Как всегда, диагностика начинается со сбора анамнеза и визуального осмотра. Ортопед-травматолог или хирург проводит визуальный осмотр, в частности, зоны, где располагается новообразование, может задать некоторые вопросы, чтобы выяснить причину, которая, по мнению пациента могла вызвать появление патологии. Посредством пальпации оцениваются размер, форма и текстура новообразования. Далее врач назначает комплекс обследований для выбора последующей тактики лечения.
- Рентгеновское исследование. Снимки могут использоваться для исключения некоторых причин возникновения опухоли, среди которых переломы или деформации костей.
- УЗИ. Ультразвуковое исследование позволяет определить размеры и форму гигромы, ее связь с суставом, наличие в стенках образования кровеносных сосудов и другие аспекты, позволяющие дифференцировать объемные образования. УЗД считается золотым стандартом диагностики гигромы.

- МРТ. В редких случаях, при сложности диагностики магнитно-резонансная томография может быть назначена специалистом для получения более детальной информации о гигроме и ее связи с окружающими тканями.
- Пункция. Иногда врач может назначить взятие содержимого на исследование для исключения злокачественного опухолевого или инфекционного процесса.

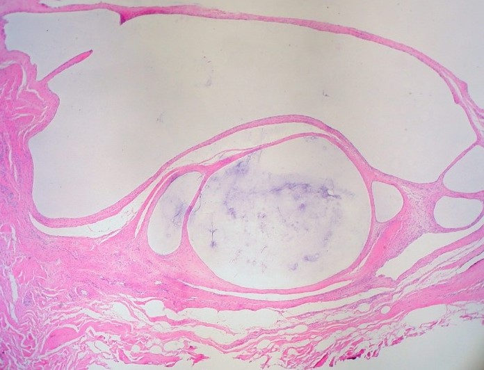
Гистологический срез гигромы
Консервативное и оперативное лечение гигромы
Из консервативных методов применяют физиотерапию, лечебные грязи, парафиновые аппликации, ЛФК направлено на укрепление сустава и связок. Также проводят пунктирование с последующим введением склерозирующего препарата (препарата, который склеивает стенки полости) или глюкокортикостероида. Все вышеперечисленные методы показаны при единичных и мелких образованиях. К сожалению, по статистике, консервативные методы лечения дают до 80% рецидивов, особенно при суставных гигромах.
Гигромы, размер которых превышает 3 см, рекомендуется удалять хирургическим путем. Такие операции назначаются специалистами для радикального решения проблемы. Выделяется несколько видов лечения гигромы оперативным путем.

Открытое удаление гигромы
Открытое удаление
Это самый распространенный вид хирургического вмешательства. В большинстве случаев операция выполняется под местной (проводниковой) анестезией. Хирург делает небольшой разрез кожи над гигромой, удаляет ее полость и ушивает поврежденный сустав или сухожильною сумку, тем самым предотвращая рецидив. После операции рана ушивается, а сустав фиксируется на несколько недель ортезом или полимерной шиной чтобы предотвратить повторное появление гигромы.
Лазерное удаление
Одним из основных преимуществ лазерной хирургии является предотвращение кровотечения во время манипуляции. Кроме того, этот метод гарантирует минимальную боль при вмешательстве и скорейшее заживление раны. При выборе оперативного метода удаления гигромы врач руководствуется ее размером, местоположением и общим состоянием пациента.
Резекция сустава
В редких случаях, если в патологические процессы вовлечены суставные структуры, а гигрома вызывает боль и нарушение функции, может потребоваться резекция сустава (удаление его части), которое приводит к ограничению движения и требует длительной реабилитации после операции.
Гигромы могут длительное время не беспокоить пациента. Особенно так бывает, когда образование локализуется в области сустава, не испытывающего чрезмерные нагрузки. Но в случае с гигромами кистей рук или колен, отмечается постоянное травмирование пораженного сустава. Чрезмерная нагрузка и микроповреждения приводят к тому, что образование начинает усиленно расти. Это сопровождается неприятными симптомами и может стать причиной ограничения подвижности, а в дальнейшем способствовать развитию раннего остеоартроза. Чем раньше будет начато лечение, тем проще будет его тактика и меньше рисков получить рецидив и осложнения. Важно помнить, что большие образования иссечь сложнее. Операция на больших гигромах сопровождается значительной травматизацией тканей, которая требует длительной реабилитации. Кроме того, существует риск разрыва гигромы и развития гнойного воспалительного процесса (чаще всего, тендовагинита).
Реабилитация
Длительность реабилитации после удаления гигромы зависит от многих факторов, включая размер и местоположение новообразования, тип операции, возраст и общее здоровье пациента. Как правило, в период восстановления врачи придерживаются классических принципов.
- Иммобилизация конечности. В первые несколько дней после операции хирурги назначают пациентам ношение ортеза или полимерной повязки для фиксации сустава и предотвращения движения в области раны.
- Физическая нагрузка. Пациентам рекомендуется начинать комплекс упражнений после снятия повязки, чтобы улучшить кровообращение, снизить отек и вернуть гибкость и силу сустава.
- Физиотерапия. После полного заживления раны рекомендуют массаж и другие методы физиотерапии, которые направлены на стимуляцию кровообращения, например, электростимуляция. Они ускоряют процесс реабилитации.
- Медикаментозная терапия. Хирурги назначают прием противовоспалительных и обезболивающих препаратов, чтобы уменьшить болевые ощущения и снизить воспаление в прооперированной области. В редких случаях при большом вмешательстве или подозрении на воспаление в капсуле гигромы, могут профилактически провести антибиотикотерапию
- Питание. Чтобы ткань быстрее подвергалась регенерации, рекомендуется употреблять белковые продукты, фрукты и овощи.
- Контроль за рубцом. После удаления гигромы, как правило, остается рубец. Чтобы уменьшить риск возникновения воспаления тканей в области рубца, необходимо проводить регулярную обработку прооперированной области и тканей, прилегающих к ней.
Реабилитационная программа может продолжаться от нескольких недель и до нескольких месяцев в зависимости от сложности операции и индивидуальных потребностей пациента. Важно следовать рекомендациям врача и не нагружать сустав до полного восстановления его функции во избежание рецидивов.
Как писали выше, рецидив при хирургическом удалении гигромы возникает в 10-20% случаев, в большинстве из них это связано с нарушением режима реабилитации пациентом.
Возможные осложнения
Гигромы имеют благоприятный прогноз, они медленно растут, не склонны к злокачественному перерождению, благодаря плотной капсуле сохраняют свою целостность. Однако крупные образования могут сдавливать сосуды и нервные пучки, что приводит к расстройству чувствительности в виде парестезий и гиперестезий, а также венозному застою, способному вызвать тромбоз вен, отечность и синюшность тканей.
Методы профилактики
- По возможности исключить травмы суставов и сухожилий;
- Использовать фиксирующие приспособления при занятиях спортом;
- При получении травмы немедленно обращаться к ортопеду-травматологу или хирургу;
- Своевременно лечить воспалительные заболевания;
- Выполнять легкую гимнастику для укрепления суставов и разминку при профессиональном занятии спортом.
Вопросы и ответы
Обязательно ли оперировать гигрому, если она не беспокоит?
- Нет, при небольших размерах возможно динамическое наблюдение, при необходимости врач может назначать консервативное лечение.
Чем опасна гигрома?
- При отсутствии лечения образование может увеличиваться в размерах, что опасно не только ярко выраженной клиникой, но и ее разрывом.

По вопросам диагностики и лечения гигромы и других заболеваний суставов обращайтесь:

- Контакты:
- +38(099)064-82-87
- +38(096)064-82-87
- Отвечаем на Ваши звонки: Понедельник – Пятница 10:00 - 16:00
- Или Telegram: Чат Telegram круглосуточно по возможности
