Рентгенологическая классификация и диагностика остеоартрита. Нужна ли помощь МРТ?
В материале больше будет уделено внимания лучевой диагностике остеоартрита коленного сустава, т.к. более наглядно можно провести классификацию стадий. Но, всё это так же касается и других суставов.
Опубликован: 04.06.2024Рентгенологическая классификация и диагностика остеоартрита. Нужна ли помощь МРТ?
Обзор материалов из открытых источников, специально для проекта «Травматология и фармакология: точки соприкосновения»
В продолжение материала о диагностике и классификации остеоартрита (коксартроз, гонартроз) - Гонартроз (остеоартроз коленного сустава). Когда ставить диагноз? Когда и как начинать лечить?
В материале больше будет уделено внимания лучевой диагностике остеоартрита коленного сустава, т.к. более наглядно можно провести классификацию стадий. Но, всё это так же касается и других суставов.

Цифровой рентген нового поколения
Остеоартрит (ОА) на протяжении многих лет продолжает оставаться одной из важнейших проблем не только современной ревматологии, но и ортопедии-травматологии. Это заболевание является результатом сложного ряда дегенеративных процессов хрящевой ткани и субхондральной кости в сочетании с поражением внутрисуставных и околосуставных структур - синовиальной оболочки, менисков, связок. Остеоартрит представляет собой серьезную медико-социальную проблему во всём мире, в связи с его хроническим, прогрессирующим течением, ограничением функциональных возможностей опорно-двигательного аппарата и ухудшением качества жизни больных. Известно, что остеоартрит коленного сустава (гонартроз) преобладает во всех клинических подтипах дегенеративно-дистрофических заболеваний суставов. Эта локализация особенно детально изучается и является моделью для испытания различных лекарственных и нелекарственных методов лечения и профилактики ОА.
Для начала вспомним определение остеоартрита. Остеоартрит (ОА) гетерогенная группа заболеваний различной этиологии со сходными биологическими, морфологическими клиническими проявлениями и исходом, в основе которого лежит поражение всех компонентов сустава, в первую очередь суставного хряща, а также субхондральной кости, синовиальной оболочки, связочного аппарата сустава и околосуставных мышц.
Если брать за основу это определение патологии, то, чтобы увидеть одномоментно все структуры сустава – внутрикостные, внутрисуставные, синовиальную оболочку, мениски и связочный аппарат, и провести дифференциальное разделение их состояния, золотым стандартом считается МРТ. В то же время, из-за небольшой распространённости, цены и наличия противопоказаний, МРТ не является методом первичной диагностик (скринингом диагностики патологии). Первичной диагностикой во многих странах все еще остаётся рентгенография в двух проекциях. В идеале делают рентгенографию двух одноименных суставов, а при наличии осевых деформаций нижних конечностей, делают панорамные снимки под нагрузкой обоих конечностей полностью. Это поможет не только определить стадию остеоартроза, но и просчитать необходимые углы коррекции как при эндопротезировании на поздних стадиях, так и при корригирующей остеотомии на ранних стадиях, когда сустав еще можно спасти. Паралельно с рентгеном назначают УЗД. УЗД поможет оценить состояние мягких тканей (связок, мышц, синовиальной оболочки) и внутрисуставных хрящей (менисков). При использовании рентгена и узд приблизительно в 95% случаев можно достаточно подробно определить состояние сустава и стадию остеоартрита. Конечно, если есть какие-то неопределенности и сомнения, врачи ставят конкретную задачу перед специалистами лучевой диагностики и назначают КТ и/или МРТ.
Подробно использование УЗ в диагностике остеоартрита коленного сустава мы разобрали в обзорном материале «Гонартроз (остеоартроз коленного сустава). Когда ставить диагноз? Когда и как начинать лечить?» поэтому в данном материале разберем рентгенографию, как метод диагностики ОА.
И так, рентгенологические симптомы первичного остеоартрита (обязательные диагностические критерии):
- 1. Сужение суставной щели
- 2. Остеофиты
- 3. Субхондральный остеосклероз
Наличие или отсутствие этих критериев являются неотъемлемой частью диагностики и классификации остеоартрита. Например, может быть так, что сужения суставной щели нет, но уже есть разрастание остеофитов. Об этом и поговорим далее.
К необязательным рентгенологическим симптомам относятся:
- 1. Кистовидные просветления костной ткани
- 2. Костные суставные дефекты (эрозии)
- 3. Деформации эпифизов костей
- 4. Подвывихи и вывихи суставов
- 5. Синовиты
- 6. Обызвествленные хондромы
- 7. Асептические некрозы, особенно в субхондральных отделах мыщелков
Несмотря на то, что эти симптомы считаются необязательными, их наличие, в той или иной мере, свидетельствует об осложнениях течения типичного остеоартрита. Все они могут быть причиной усиления болезненных ощущений в суставах, нарушением функций и развитием контрактур. Наличие этих симптомов указывает на прогрессирование патологии: перестройка костных структур сустава, изменения внутрисуставных и околосуставных мягких тканей.
Хотелось бы отметить, что необязательны симптомы не всегда можно выявить при рентгенографии даже на современном цифровом оборудовании. Если патология плохо поддается лечению, боль и дискомфорт после консервативной терапии быстро возвращаются и нарастают, врач, обычно, рекомендует сделать МРТ, для выявления внутрикостных и глубоких внутрисуставных изменений, которые не видно при УЗД и рентгенографии.
Важным параметром оценки субхондральной кости (СХК) является наличие остеосклероза – уплотнения в области суставной поверхности, на фоне которого параллельно появляются очаги истончения костного вещества. Клинико-рентгенологические критерии ОА наиболее полно разработаны для коленного сустава и включают классификации М. Лекена (1980), Дж. Келлгрена и Дж. Лоуренса (1957), А. Ларсена (1987), Н. С. Косинской (1961). Сегодня для определения стадии ОА традиционно используется классификация Дж. Келлгрена и Дж. Лоуренса (1957), усовершенствованный М. Лекеном (1982). По Дж. Келлгрену и Дж. Лоуренсу выделяют IV стадии заболевания.
Несколько слов о рентгенологических стадиях остеоартроза по J. Kellgren & J. Lawrence, принятых в далеком 1957 году, о них мы подробно писали в материале «Гонартроз - деформирующий артроз коленного сустава»

- 0 стадия – отсутствие рентгенологических признаков при наличии клинических проявлений (боль, локальное повышение температуры, припухлость после больших нагрузок);
- І стадия – сомнительная – незначительные остеофиты, сужения суставной щели не определяется или минимальное; (N.B. Формально, по последним протоколам диагностики и лечения остеоартрита, наличие остеофитов и сужение суставной щели в совокупности с клиническими проявлениями дает право ортопеду-травматологу поставить диагноз - остеоартрит)
- ІІ стадия – минимальная – небольшие остеофиты на краях суставных поверхностей, появление краевых костных разрастаний суставных поверхностей, определяется незначительное сужение суставной щели;
- ІІІ стадия – средняя (умеренные изменения) – умеренное сужение суставной щели (в большинстве случаев преобладает с медиальной стороны); множественные небольшие или умеренной выраженности остеофиты на краях суставных поверхностей; незначительный субхондральный остеосклероз, особенно ярко выраженный в месте наибольшего сужения суставной щели; небольшие деформации суставных поверхностей.
- ІV стадия – выраженная (выраженные изменения) – резко выраженное сужение суставной щели до полного отсутствия; множественные остеофиты; выраженный субхондральный остеосклероз; значительные деформации эпифизов костей, образующих сустав
Далее рассмотрим стадии ОА на примерах

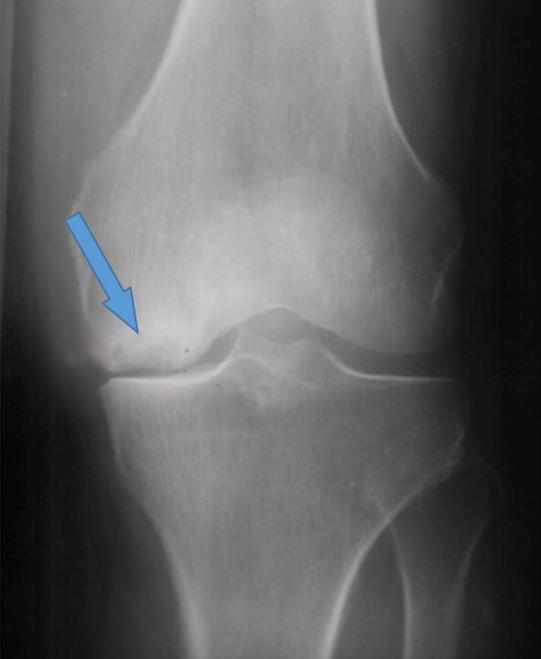
Высота суставной щели сохранена, но, присутствие остеофита, в совокупности с клиническими проявлениями, дает право ортопеду-травматологу поставить диагноз – гонартроз 1-2 стадии
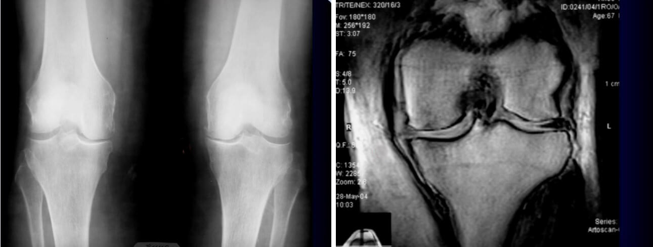
МРТ визуализация ОА коленного сустава (при первой Ro стадии)
Напомним, что на сегодняшний день в мире не существует рекомендаций по определению стадии ОА при помощи МРТ. Но, на начальных стадиях, МРТ дает более подробную картину состояния внутрисуставных структур. Именно визуализация при помощи МРТ помогает определить ОА на ранних стадиях и начать своевременное лечение.
И так, что мы увидим на МРТ при первой рентгенологической стадии ОА коленного сустава:
- 1. Отёк и неравномерное истончение суставного хряща.
- 2. Дегенеративные изменения (повышение интенсивности МР сигнала) внутрисуставных и периартикулярных структур (менисков, связочного аппарата) сустава
- 3. Линейные участки фиброза костного мозга в субхондральных участках эпифизов костей
- 4. Небольшие остеофиты на краях суставных поверхностей
Еще одна особенность. Для определения всех этих изменений должно быть использовано высокочувствительное оборудование и специальное программное обеспечение, а также опытный высококвалифицированный специалист, способный расшифровать полученные данные. Такое оборудование и специалисты есть в известном на всю страну Институте травматологии и ортопедии НАМН Украины.

Суставная щель сохранена, но неравномерна с медиальной и латеральной стороны. Четко визуализируется остеофит

2-3 стадия остеоартрита. На рентгеновском снимке (слева) четко видны: неравномерное сужение суставной щели и остеофиты. На МРТ (справа): неравномерное сужение суставной щели в медиальном отделе, значительные изменения медиального мениска, коллатеральная связка неравномерно отходит от края кости

3-я стадия остеоартрита: неравномерное сужение суставной щели, остеофиты, субхондральный остеосклероз в месте наибольшего сужения суставной щели
Что можно увидеть на МРТ при 3-й стадии ОА коленного сустава?
- 1. Значительные по протяженности участки дегенерации и деструкции суставного хряща, возможно его полное отсутствие на определенных участках суставной поверхности – МРТ помогает визуализировать истинную структуру суставного хряща, его толщину, плотность и дефекты, рассчитать площадь его поражения. По рентгенограммам мы можем судить о состоянии хрящей опосредованно по высоте суставной щели и состоянию субхондральной кости,
- 2. Грубые дегенеративные изменения связок и фиброзно-хрящевых структур сустава (менисков)
- 3. Участки субхондрального фиброза костного мозга
- 4. Множественные краевые костные разрастания (остеофиты)
- 5. Выраженный отёк костного мозга
- 6. Синовит и поражение (разрастание) синовиальной оболочки
- 7. Изменения формы и размера костей, формирующих сустав
- 8. Разрастание фиброзной ткани в полости сустава
МРТ помогает не только подтвердить стадию ОА, но и считается незаменимой в предоперационном планировании при эндопротезировании сустава, а также, помогает определить причину боли в суставе и степень поражения мягких тканей.

4-я стадия: присутствие всех симптомов и выраженная варусная деформация. На МРТ: перестройка субхондральных структур и развитие асептического некроза, выраженные деформации суставных поверхностей.

Как неоднократно писалось, ОА могут осложняться другими патологическими состояниями, например, асептическим некрозом, болезнь Кенига (остеохондрит мыщелка бедренной кости коленного сустава)
Несколько слов о тазобедренном суставе и особенностях диагностики коксартроза …

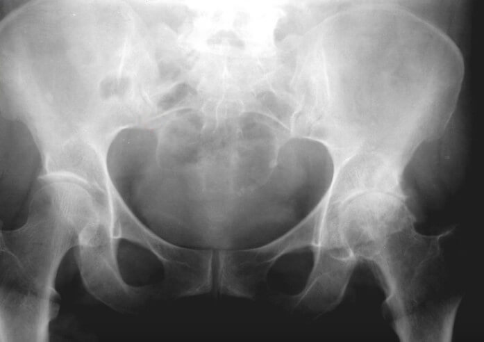
Сужение суставной щели, остеофиты, остеосклероз
Диагностика патологий в тазобедренном суставе при помощи рентгеновской визуализации немного сложнее в сравнении с диагностикой ОА коленного сустава. Тем не менее, при выполнении обзорной рентгенографии таза мы четко можем видеть сужение суставной щели тазобедренного сустава, остеофиты на краю головки бедренной кости, субхондральный остеосклероз в области головки бедренной кости и вертлужной впадины, перестройка структур костей, формирующих тазобедренный сустав.

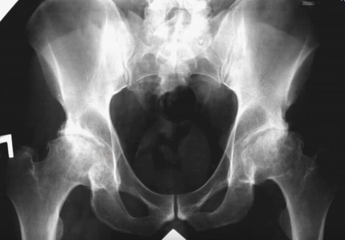
Асептические некрозы головок бедренных костей с последующим развитием всех признаков ОА (на фото рентгенограмма пациентка с системной красной волчанкой, которая длительное время лечится глюкокортикоидами
… и остеоартрит кисти

На рентгенограмме: визуализируется узелковая форма остеоартрита с ярко выраженными изменениями в дистальных и проксимальных межфаланговых суставах. Характерные для ОА симптомы: сужения суставной щели, крупные остеофиты на краях суставных поверхностей с формированием так называемых «крыльев летящей чайки»
Подводя итоги
Несмотря на активное развитие лучевой диагностики, всё большую доступность современных методов визуализации, таких как КТ и МРТ, рентгенография и УЗД продолжает занимать ведущее место в диагностике остеоартритов всех суставов конечностей и позвоночника. Как уже писали выше, практически в 95% случаев для постановки первичного диагноза остеоартрит достаточно рентгенографии и (в некоторых случаях) УЗД. Данные методы диагностики предоставляют врачам необходимую информацию для составления индивидуального плана лечения и контроля эффективности принимаемых мер. Конечно, в сложных случаях при выделении фенотипов, проявлении ранних и значительных осложнений, а также при предоперационном планировании, рекомендуется выполнить МРТ и/или КТ с применением высококлассного оборудования и специального программного обеспечения. Ранняя диагностика, определение причин (фенотипа) ОА помогут подобрать и начать адекватное консервативное лечение и реабилитацию, что, в свою очередь, поможет спасти сустав и на долгие годы сохранить привычный активный образ жизни пациента.

По вопросам диагностики и лечения травм и заболеваний суставов обращайтесь:

- Контакты:
- +38(099)064-82-87
- +38(096)064-82-87
- Отвечаем на Ваши звонки: Понедельник – Пятница 10:00 - 16:00
- Или Telegram: Чат Telegram круглосуточно по возможности